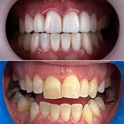
Full Mouth Rehabilitation

Full Mouth Rehabilitation can be conducted when the majority of the teeth in a patient's mouth is in need of restoration and correction. In this procedure, the patient’s entire mouth is taken care of, while also keeping major emphasis on the aesthetic front. In other words, full-mouth restoration combines aesthetics with the practices of restorative dentistry to enhance the health, function, and beauty of the mouth. A complete mouth restoration is a set of dental procedures personalised to the patient's particular needs.

While reconstructing the mouth and restoring oral health, treatment options for jaw joints, bite, smile, and facial support are all taken into consideration. Full-mouth rehabilitation replaces the missing teeth, repair teeth alignment, fill in gaps, treat periodontal diseases, enhances any TMD symptoms, make improves the smile, boost confidence, and more imperatively enhances your generally wellbeing.

What to expect throughout the process

Your full mouth rehabilitation will start with a consultation. Dr. Pradeep will get to know you, and learn more about what you would like to improve. He’ll take into account your preferences and your budget, and develop a highly personalized treatment plan to meet your needs in order of their importance to you. Every procedure will be fully explained, and you’ll have time to answer any questions you may have to ensure that you’re comfortable every step of the way.

If you require multiple restorative or cosmetic treatments to get your teeth and gums back to optimal health, this is known as a full mouth rehabilitation. Dr. Pradeep and our team at Pradeep’s Dentystree genuinely believe in the power of a healthy, beautiful smile, and we’ll work with you to come up with a treatment plan that will help you achieve your dental health goals. Call us today to take the first step and schedule a consultation.